DENTISTRY




DENTISTRY


Introduction
  • Department of Dentistry was established in 2021 with the mission of providing comprehensive dental care to the residents in around the district of Tiruvallur. Initially started as a single dental unit, the department has since expanded into a new space with two fully equipped dental chairs and a complete set of dental instruments to address the needs of the public. The scope of services provided by the department has been accredited by NABH.
  • Additionally, the department provides B.D.S. graduates with a six-month special trainee program to refresh their curriculum knowledge. The department serves as a nodal centre for the organized oral cancer screening, an NHM programme which integrates all levels of Government hospitals in Thiruvallur district.
  • From daily outpatient procedures, minor oral surgical procedures and minor trauma cases; it continues to serve the community through specialized services with an emphasis on patient-centered care.
Faculty
S. No. NAME DESIGNATION   QUALIFICATION REGN No. PHOTO
1 Dr.Vidhya Albert yen Professor M.D.S 1763
2 Dr.R.Usha Assistant Professor M.D.S 7580
3 Dr.Mangaleswari Assistant Professor M.D.S 12362
4 Dr.P.Rekka Senior Resident M.D.S 9730
Infrastructure
  • The department has a waiting lobby, a spacious outpatient room, and a seperate treatment room for dental procedures.
  • It has two fully functional automatic dental chair units with a chair mounted and a movable X ray unit. It also offers Radiovisiography imaging for digitally viewing the radiographs.
  • A comprehensive set of dental equipments and instruments are available to aid in all oral surgical procedures.

Responsive Image
Responsive Image
Scope of services

Out patient services - consultation & oral examination (evaluation) for screening for oral cancer


Procedures done

  • Scaling and Oral prophylaxis
  • Restoration of Dental caries
  • Root canal treatment
  • Management of benign and premalignant lesions of oral cavity.

Minor surgeries


  • Extraction of teeth
  • Trans alveolar extraction of teeth
  • Gingival and Periodontal procedures
  • Treatment of Dento alveolar fractures
  • Maxilla and mandible Biopsy(Excision and Incision)

MLHP TRAINING FOR CANCER SCREENING


Responsive Image
Academic activities
  • Two weeks clinical posting for phase II MBBS students
  • CIRI research guide programme for students research
Research and Publication
Ongoing Research Project
S.No Name of the Investigators and Co-investigators/Guides/Co-guides Title of the Research Project
1 Investigator - R.Sumanth kumar Guide/Co-guide - Dr.S.Sharmila,Dr.R.Usha Knowledge,attitude and practice towards drug adherence and lifestyle modifications among hypertensive patients attending NCD clinic in Government Medical College Hospital - Tiruvallur - A descriptive cross sectional study

Publication and Journals

1 Dr.S.Sharmila Patient’s request for tooth extraction and a review of its ethical implications – A cross sectional survey, Scientific Dental Journal, 26/04/2024
2 Sharmila, Mubarak H In Vitro Antioxidant Activity Of Oak Gall Oil And Triphala Oil Journal of Advanced Zoology 2024:45(3)
3 S.Sharmila Comparison of effectiveness of Oak gall oil with Triphala Oil in reversal of Oral leukoplakia: A randomized clinical Trial, World Journal of Dentistry, December 2024: 15(8):664-671
Events & Seminars
Content To Be Added Shortly
Interesting cases

Treatment of aggressive periodontitis


Dentist

Veruccous carcinoma – left buccal mucosa


Audiologist

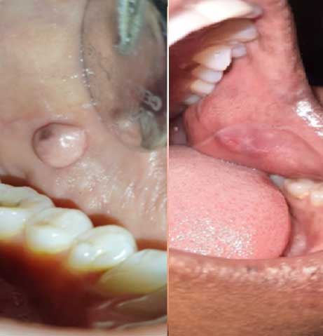
FIBROMA – LEFT BUCCAL MUCOSA PRE- OP AND POST- OP


Dentist

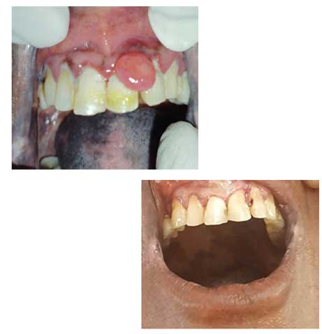
Pyogenic granuloma – upper anterior gingiva pre- op and post op


Audiologist

Frenectomy


Dentist
Gallery
INAUGURATION OF LASER AND NEW DENTAL UNIT - 23.12.2025 WORLD NO TOBACCO DAY CELEBRATION

Go To Top